Содержание
Для современного врача-стоматолога очень большое значение имеет возможность выполнения рентгенологического исследования у пациента. Сегодня разработано и применяется несколько видов рентгена зубов.
Обзорная рентгенография
При выполнении обзорного рентгена (обычно в двух или трех проекциях) визуализируются кости черепа. Показаниями к данному исследованию являются:
- Диагностика травм и опухолей черепа, верхней и нижней челюсти.
- Оценка состояния и подозрение на патологию гайморовых и других пазух.
- Подозрение на аденому гипофиза.
- Поиск и уточнение локализации инородных тел.
Новейшей модификацией обзорного рентгена в боковой проекции является телерентгенограмма, используемая ортодонтами для оценки прикуса и разработки тактики лечения его нарушений.
Внутриротовая рентгенодиагностика
Внутриротовая рентгенография зубов является основным видом исследования при стоматологических заболеваниях. Она может быть контактной, окклюзионной, длиннофокусной или интерпроксимальной. Разновидность внутриротового дентального рентгена зависит от того, какую часть зуба (или нескольких зубов) необходимо визуализировать.
Современная модификация данного вида рентгена – визиография. Это цифровой метод дентальной визуализации с помощью датчика и вывода картинки на экран компьютера. Потенциально такой метод исследования может постепенно заменить внутриротовую рентгенографию, так как лучевая нагрузка при нем намного ниже. С помощью визиографии врач получает прицельный рентгеновский снимок.
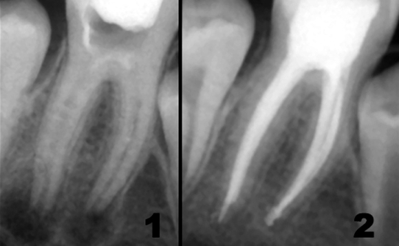
Прицельный снимок
Прицельный снимок применяется для уточнения характера повреждения, оценки состояния отдельного зуба. Пример прицельного снимка до лечения и после него приведен на рисунке ниже.
Что позволяет увидеть прицельный рентгеновский снимок? На пленке подобного типа можно определить:
- качество проведенного лечения;
- наличие или отсутствие кариеса, пульпита, периодонтита;
- наличие локального пародонтита;
- травму зуба.
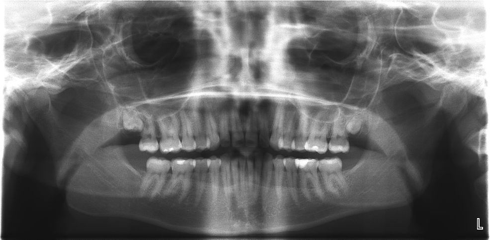
Панорамный снимок
Рентгеновский снимок, который захватывает область от одного височно-нижнечелюстного сустава до другого, при этом на пленке имеется изображение всех зубов, называется панорамным. В качестве примера подобный дентальный рентгеновский снимок приведен на рисунке ниже.
Данный снимок позволяет визуализировать состояние костных структур верхней и нижней челюсти и зубов.
Что позволяет диагностировать панорамный снимок? Спектр возможностей этого вида дентального рентген-исследования включает:
- оценку состояния здоровья всех зубов, например, при первом приеме у стоматолога;
- оценку качества выполнения ранее проведенных работ в ротовой полости;
- выявление скрытых кариозных полостей;
- выявление воспалительных очагов в области зубов и обеих челюстей (киста зуба, гранулемы, остеомиелит);
- обнаружение опухолей этой области, как доброкачественных, так и злокачественных;
- обнаружение переломов и трещин зубов и челюстей;
- оценку тяжести и стадии пародонтита, пародонтоза.
Описание зубной рентгенограммы
Читать рентгенограмму может как врач-рентгенолог, так и лечащий стоматолог. При описании снимка специалист оценивает его качество, степень жесткости, плотность и однородность костных структур верхней или нижней челюсти, правильность расположения зубов и их зачатков, наличие или отсутствие симптомов затемнения либо просветления (полостей, кист, гранулем, новообразований, воспалительного процесса).
Симптомы, которые можно наблюдать при описании дентального рентгена, приведены в таблице ниже.
| Патология | Вид рентгена | Что определяется на снимке? |
| Кариес | Интерпроксимальная рентгенография, визиография | Кариозная полость в виде нарушения прозрачности эмали и дентина, симптом просветления в виде очага неправильной формы с нечетким контуром (место разрушения эмали и дентина) |
| Пульпит | Визиография, окклюзионная рентгенография | Косвенные признаки поражения зуба, разрушение костной ткани (нарушение однородности) в межкорневой зоне при гипертрофическом процессе |
| Периодонтит | Визиография, контактный дентальный рентген | Наличие гранулемы в области зубного корня, расширение периодонтальной щели, снижение четкости ее контуров, при гнойном процессе рентген-картина остеопороза, при гранулирующем процессе деструкция дентина и цемента под влиянием разрастающихся грануляций (симптом просветления) |
| Пародонтит | Панорамный снимок, интерпроксимальные снимки | Явление остеопороза – уменьшение плотности костной ткани, уменьшение высоты межзубных перегородок, появление «карманов» |
Насколько опасны рентген-исследования зубов
Современная рентген-аппаратура при обследовании создает минимальную лучевую нагрузку на пациента, так что даже серия дентальных рентгеновских снимков суммарно дает меньшее облучение, чем одно исследование на обычном аппарате, применявшемся ранее.
Абсолютных противопоказаний к рентгеновскому исследованию не существует. Кроме того, врач сопоставляет вред от излучения и потенциальную опасность для пациента.
Среди относительных противопоказаний можно назвать беременность, особенно ранние сроки. К тому же некоторые виды лечения зубов при беременности не проводятся. Для защиты плода при необходимости на живот женщины надевается специальный фартук из свинца.
Еще одним из противопоказаний можно назвать детский возраст. Грудное вскармливание, как правило, не является препятствием для проведения рентгенологического обследования.
https://youtu.be/XY5lr7LtEpk
Частые вопросы
Зачем проводят рентгенографию зубов?
Рентгенография зубов проводится для обнаружения кариеса, оценки состояния зубного корня, диагностики зубных кист, определения плотности костной ткани челюсти и других заболеваний полости рта.
Какие современные способы проведения рентгенографии зубов существуют?
Существуют различные способы проведения рентгенографии зубов, включая цифровую рентгенографию, панорамическую рентгенографию, томографию и конусно-лучевую компьютерную томографию (КЛКТ).
Как происходит описание дентальных снимков?
Описание дентальных снимков включает в себя оценку состояния зубов, корней, костной ткани, наличие кариеса, зубных кист, периодонтитов и других патологий, а также определение необходимости лечения.
Полезные советы
СОВЕТ №1
При посещении стоматолога для проведения рентгенографии зубов, уточните, какой метод именно будет использован, чтобы быть готовым к процедуре и знать, что ожидать.
СОВЕТ №2
После получения результатов рентгенографии, обязательно обсудите их с вашим стоматологом, чтобы понять состояние зубов и возможные проблемы, а также задать все интересующие вопросы.



